Life Sdn Bhd: Differences (Trailer) - 4077-m jalan merican
Life Sdn Bhd: Differences (Trailer)
Zulkiflee ABD LATIF Professor B.Geomatics(Melbourne), PhD 
Category:Maryland Route 355 - Wikimedia Commons
Lensoon Hardware Trading Sdn. Bhd. - Hardware - Wholesaler 
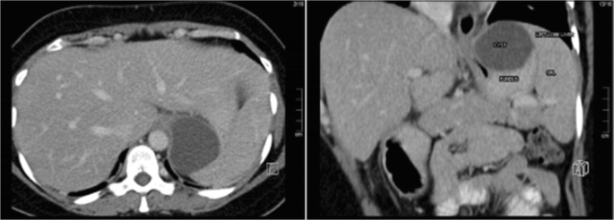
Laparoscopic Sleeve Gastrectomy for Oesophago-gastric Junction 
Abm Annual Report 2016 [d47e1qxdddn2]![Abm Annual Report 2016 [d47e1qxdddn2]](https://idoc.pub/img/crop/300x300/pd496ev7d049.jpg)
WFH@klpac: Bollywood Dreams - Trailer
The Best International Schools in Asia World Schools
What does BHB stand for? - #adessonews adessonews adesso news 
Malaysia Top 100 Golf Courses
EASTWOOD REGENCY EdgeProp.sg
133343381-leads-list-from-scribd.txt [1430m96ewj4j]![133343381-leads-list-from-scribd.txt [1430m96ewj4j]](https://idoc.pub/img/crop/300x300/en5kmj1r65no.jpg)
Comments
Post a Comment